您的当前位置:首页 > 民生实事

民生实事

精准影像 质量先行|敦化市放射影像质控中心召开2025年质控会议

紧绷消防弦 护航健康线丨敦化市医院开展2025年度消防安全知识专题培训

多学科联合护航呼吸健康丨敦化市医院开展“世界哮喘日”大型义诊活动

敦化市医院开展庆祝建党104周年“强党性 砺作风”系列活动

聚英才育骨干 蓄力高质量发展新篇章

敦化市医院普外科二疗区成功完成一例经腋窝入路腔镜甲状腺手术

敦化市医院开展第22个“世界献血者日”主题宣传活动

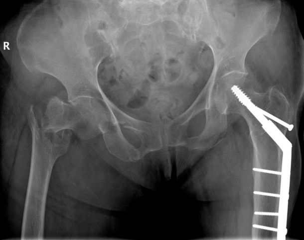
新突破∣“黄金手术期”破解骨科高龄患者手术难题

基础牢实 以人为本 重在落实 追求卓越∣敦化市院感质控中心2025年专题培训圆满举办

关爱生命 救在身边∣敦化市医院开展“心肺复苏周”健康宣教活动